Album CardioArte
Esta exposición virtual pretende ofrecer a los autores la posibilidad de que sus imágenes sean observadas por más personas que las que tradicionalmente pasan por las zonas de exhibición física. la Sociedad Colombiana de Cardiología y Cirugía Cardiovascular da un gran valor a cada imágen y por eso ha buscado alternativas que ofrezcan valor a visitantes y a los autores mismos. La exhibición permanecerá abierta posteriormente al cierre del congreso, ofreciendo mayor visibilidad y permitirá que quienes observen las imágenes, les otorguen una calificación y les entreguen comentarios a los autores, que solamente ellos podrán ver.
Recorra el album y observe con detalle las imágenes. Note los elementos técnicos pero la visión artística de cada una y determine su elección.
SOLO PODRÁ VOTAR POR UNA IMAGEN, así que debe asegurarse de su elección. Los votos se validarán contra la lista de inscritos. Solo inscritos confirmados en la jornada son votos válidos. Se anularán votos de personas que no estén registradas.
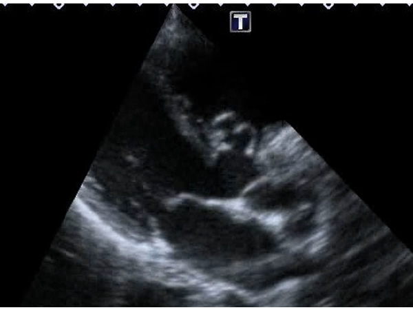
Patología aneurismática de cayado aórtico y aorta descendente torácica en paciente con dolor precordial atípico
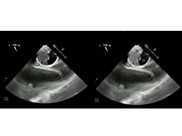
Válvula aórtica tetravalva en una paciente con comunicación inter auricular y ductus arterioso persistente









.png)


























